代谢相关脂肪性肝病(MASLD)已成为全球发病率最高的慢性肝病,影响超38%人群。高脂饮食(HFD)是公认的核心诱因,而磷脂酰胆碱(PC)与磷脂酰乙醇胺(PE)的比例失衡被证实与肝脏内质网(ER)应激、脂质积累密切相关,但其关键机制尚未完全阐明。明确解析 MASLD 进程中 PC/PE 比例失衡调控肝脏内质网应激与脂质积累的关键机制,有望为这类高发病率慢性肝病的早期干预与靶向治疗提供全新的理论支撑和潜在靶点。
2025年12月12日,浙江大学基础医学院王晓健团队在Nature Communications杂志上发表题为“Diet-induced RKIP downregulation disrupts PC/PE-ER homeostasis to drive MASLD”的研究论文。该研究揭示RKIP-PEMT-ER 稳态轴通过调控磷脂酰胆碱(PC)/磷脂酰乙醇胺(PE)平衡,成为高脂饮食诱发 MASLD 的核心通路,为疾病机制研究和治疗靶点开发提供了全新视角。

研究结果
PART-01
RKIP下调与MASLD
进展密切相关
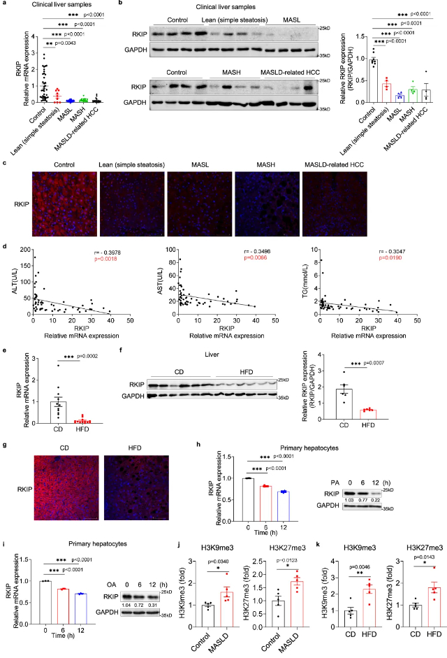
研究团队首先通过临床样本分析发现,从单纯性脂肪变、MASL、MASH到MASLD相关肝癌患者,肝脏组织中RKIP的mRNA和蛋白水平均显著低于健康人群,且RKIP表达量与血清 ALT、AST 及甘油三酯水平呈负相关。在高脂饮食(HFD)诱导的小鼠 MASL 模型和西方饮食(WD)诱导的 MASH 模型中,同样观察到肝脏 RKIP 表达降低。进一步体外实验证实,饱和脂肪酸(PA)和不饱和脂肪酸(OA)均能直接下调肝细胞中 RKIP 的表达,其中组蛋白 H3K9me3 和 H3K27me3 的表观遗传修饰可能参与了这一转录调控过程。

图1
PART-02
棕榈酸通过抑制 RKIP 棕榈酰化
促进其 ER 相关降解
深入探究脂肪酸调控 RKIP 的分子机制时发现,棕榈酸(PA)并非通过转录水平,而是通过蛋白酶体依赖途径降解 RKIP。进一步实验证实,PA 诱导内质网(ER)应激,促使 RKIP 发生 ER 相关降解(ERAD)。更重要的是,RKIP 的 Cys133 位点棕榈酰化对其稳定性至关重要,PA 通过抑制 ZDHHC4/6 介导的 Cys133 棕榈酰化,破坏 RKIP 稳定性,最终导致其被 ERAD 途径降解。

图2
PART-03
肝细胞特异性 RKIP 缺失加剧 MASLD
及相关肝癌进展
为明确 RKIP的生理功能,研究者构建了全身敲除和肝细胞特异性敲除(AlbcreRKIPf/f)小鼠模型。结果显示,与对照小鼠相比,AlbcreRKIPf/f 小鼠MASL、MASH以及MASLD相关肝癌发病均加重。

图3
PART-04
RKIP 缺失通过加剧 ER
应激促进脂质积累
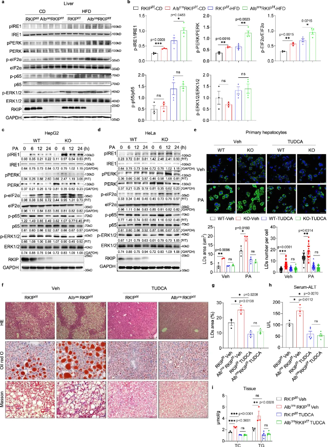
机制探究发现,RKIP 缺失显著影响肝细胞ER功能相关通路。内质网应激(ER stress)关键分子 IRE1α、PERK、eIF2α 的磷酸化水平在 RKIP 敲除小鼠肝脏和细胞中均显著升高,表明 RKIP 缺失会加剧 ER stress。而 ER stress 抑制剂 TUDCA 处理后,RKIP 缺失导致的脂质滴积累和肝脏病理损伤均得到显著改善,证实 RKIP 通过抑制 ER 应激调控脂质代谢,进而延缓 MASLD 进展。

图4
PART-05
代谢脂质组学揭示 RKIP 缺失导致
PC/PE 失衡(核心亮点)
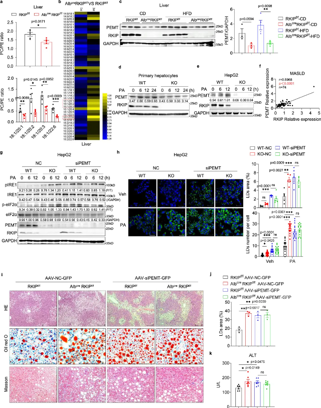
脂质组学分析成为破解机制的关键!PC 和 PE 是细胞膜最丰富的磷脂,其比例平衡对 ER 稳态至关重要。研究通过高精度脂质组学检测发现,AlbcreRKIPf/f 小鼠肝脏中 PC 总量显著降低,PE 总量无明显变化,导致 PC/PE 比值显著下降,其中 18:1/20:1、18:1/20:2、18:1/20:3、18:1/22:6 等特定脂肪酸链组成的 PC/PE 亚型变化最为显著。更具意义的是,脂质组学数据显示,RKIP 缺失小鼠肝脏中,具有相同脂肪酸链的 PE 物种积累而 PC 物种减少,直接提示 RKIP 缺失会破坏 PE 向 PC 的转化过程,这一精准的脂质代谢变化为后续机制解析提供了核心依据。

图5
PART-06
RKIP 通过调控 PEMT
翻译维持 PC/PE 平衡
PC 的合成主要依赖 CDP - 胆碱途径和 PE 甲基化途径,其中 PEMT 是 PE 甲基化生成 PC 的关键酶。研究发现,RKIP 缺失不影响 PEMT 的 mRNA 水平,而是显著降低其蛋白表达。进一步实验证实,RKIP 可直接结合 PEMT mRNA,并与 m6A reader 蛋白 YTHDF1 相互作用,促进 YTHDF1 识别 PEMT mRNA 的 m6A 修饰位点,进而增强 PEMT 的翻译效率。过表达 PEMT 可恢复 RKIP 缺失导致的 PC/PE 比值下降、ER 应激激活和脂质积累;而敲低 PEMT 则会消除 RKIP 野生型与敲除型细胞 / 小鼠的表型差异,证实 RKIP 通过调控 PEMT 翻译维持 PC/PE 平衡,进而保护 ER 稳态。

图6
这项研究以脂质组学为核心技术支撑,结合临床样本、动物模型和细胞实验,层层递进地揭示了 RKIP-PEMT-ER 轴通过调控 PC/PE 平衡调控 MASLD 发生发展的分子机制。随着 MASLD 的全球流行,这一发现为开发靶向 RKIP 的小分子激活剂、PEMT 翻译增强剂等新型治疗策略提供了重要理论基础,有望为广大 MASLD 患者带来新的治疗希望!
总结
本研究系统揭示了高脂饮食诱导MASLD的一条全新关键通路:HFD→RKIP下调→PEMT翻译抑制→PC/PE比例显著下降→内质网应激→肝脏脂质积累与MASLD进展。
在研究初始阶段,团队借助靶向脂质组学技术系统分析了野生型、基因敲除动物肝脏及肝细胞内质网的脂质组图谱,发现RKIP缺失导致内质网PC/PE比例下调,进而导致内质网应激和MASLD发展。通过深度脂质组学分析发现RKIP敲除导致同链长PC→PE转化受阻,成功筛选出调控这一过程的关键分子——PEMT,明确了RKIP通过PEMT调控内质网磷脂代谢稳态的研究方向。
脂质组学在本研究中的重要性:脂质组学技术作为本研究的核心技术支撑,凭借其高覆盖度、高精准度及定量优势,为上述RKIP-PEMT-ER轴调控脂质代谢失衡驱动MASLD的科学发现提供了不可或缺的关键证据,是贯穿研究全程的技术核心。
研究中使用的三重四极杆质谱的MRM模式,对预先设定的、特定脂质独有的碎片离子信号进行检测,排除了其他物质的干扰,具有极高的特异性。通过添加内标来校正提取和电离过程中的损失和偏差,从而获得可靠的浓度数据,并通过同位素内标对浓度进行精准定量。研究不仅报告了PC总量下降,还解析出具体是哪些脂肪酸链组成的PC亚型发生了变化,将表型指向了PEMT介导的PE向PC转化通路受阻。质谱检测为本研究提供了精确定量的脂质变化数据,这是将表型与PEMT功能直接关联的关键,完成了逻辑的闭环。
本工作不仅阐明了一条RKIP介导的脂质代谢新通路,也凸显了脂质组学技术在解析脂质代谢相关肝病分子机制中的核心价值,为MASLD的精准诊断与靶向治疗提供了新的视角与技术支撑。
科似海生物检测服务
科似海生物长期致力于突破代谢质谱检测的技术瓶颈,专注于提供定制化的代谢研究解决方案。公司开发了多项核心技术,涵盖超微量样本代谢物检测、稳定同位素代谢示踪以及全景覆盖的代谢组学与脂质组学常规分析,致力于为客户提供可靠、精准的科学数据。
作为一家专注于攻克技术难点的研发与检测服务企业,科似海生物在组织、胚胎、细胞、培养基等微量及珍贵样本的小分子代谢组学和脂质组学检测方面积累了丰富经验,致力于为更多科研团队提供精准、可靠的技术服务,让“难检测、测不准”的微量样本,不再成为科研路上的障碍。如果您也面临微量/珍贵样本的代谢检测难题,欢迎联系科似海——我们期待成为您科研路上的“技术队友”,共同推动更多科学发现!
【参考文献】
Li, M., Ou, Q., Qin, Q., Chen, J., Yang, S., Zhao, J., Meng, H., Li, X., Xu, P., Ye, C., & Wang, X. (2025). Diet-induced RKIP downregulation disrupts PC/PE-ER homeostasis to drive MASLD. Nature Communications, 16(1), 11092.